
Globo Ocular
Entenda sua Estrutura, Funções e Principais Problemas
O globo ocular é uma das estruturas mais complexas e delicadas do corpo humano. Ele abriga os componentes responsáveis pela visão e está sujeito a diversas doenças e condições que, se não forem diagnosticadas a tempo, podem comprometer a saúde visual.
Neste artigo, o Médicos de Olhos explica o que é o globo ocular, suas principais funções, doenças que o afetam e como a ultrassonografia ocular pode ajudar no diagnóstico preciso de problemas oculares.
O que é o Globo Ocular?
O globo ocular é a estrutura esférica do olho localizada na cavidade orbitária. Ele é formado por camadas, líquidos e tecidos especializados que trabalham juntos para captar, focar e transmitir imagens ao cérebro.
Tem cerca de 24 mm de diâmetro em adultos e está protegido por músculos oculares e pelas pálpebras.
 
															Agende pelo WhatsApp, Site ou Doctoralia:
Pronto Atendimento Unidade Premium Batel.
Notícias em destaque
Estrutura do Globo Ocular
O globo ocular é composto por três camadas principais:
🔹 Túnica externa (fibrosa)
- Córnea: transparente e curva, é a primeira lente natural.
- Esclera: parte branca e resistente que protege o olho.
🔹 Túnica média (vascular)
- Íris: regula a entrada de luz.
- Corpo ciliar e coróide: nutrem o olho e auxiliam na acomodação do cristalino.
🔹 Túnica interna (nervosa)
- Retina: camada responsável por captar a luz e converter em impulsos nervosos.
Além disso, o olho contém estruturas importantes como:
- Cristalino
- Humor aquoso
- Humor vítreo
- Nervo óptico
Principais Doenças que Afetam o Globo Ocular
✅ Glaucoma
Aumento da pressão intraocular que danifica o nervo óptico. Pode levar à perda da visão.
✅ Descolamento de Retina
Separação da retina do fundo do olho. É uma emergência oftalmológica.
✅ Tumores oculares
Podem ser benignos ou malignos e comprometer estruturas internas.
✅ Inflamações intraoculares (uveítes)
Afetam a camada média e causam dor, vermelhidão e visão embaçada.
✅ Hemorragias vítreas
Sangramento dentro do olho, comum em diabéticos e em casos de trauma ocular.
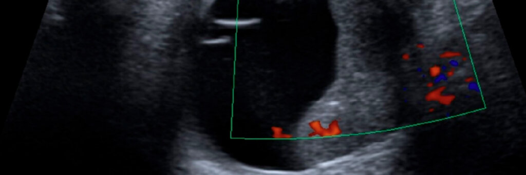
Ultrassonografia do Globo Ocular: Para que Serve?
 
															A ultrassonografia ocular é um exame de imagem indolor e não invasivo que utiliza ondas sonoras para formar imagens do interior do globo ocular.
É especialmente útil quando a visão está comprometida por opacidades (ex: catarata, hemorragias), impedindo a visualização direta da retina.
Principais indicações:
- Detecção de descolamento de retina
- Avaliação de tumores intraoculares
- Identificação de corpos estranhos
- Estudo do nervo óptico
- Avaliação de trauma ocular
No Médicos de Olhos, esse exame é realizado com aparelhos de alta resolução e interpretação por especialistas.
Sintomas que Exigem Avaliação Oftalmológica Imediata
Se você apresentar um ou mais dos seguintes sintomas, procure um oftalmologista com urgência:
- Dor ocular intensa
- Perda súbita da visão
- Moscas volantes (pontos escuros na visão)
- Flashs de luz
- Sangramento ocular
- Olho muito vermelho e dolorido
- Visão embaçada persistente
FAQ – Dúvidas Frequentes
					 Qual a função do globo ocular? 
							
			
			
		
						
				Captar a luz, formar a imagem e transmiti-la ao cérebro através do nervo óptico.
					 A ultrassonografia ocular dói? 
							
			
			
		
						
				Não. É um exame rápido, indolor e seguro.
					 Quando é indicado esse exame? 
							
			
			
		
						
				Quando o médico precisa avaliar estruturas internas que não podem ser vistas diretamente.
					 Quais doenças podem ser detectadas? 
							
			
			
		
						
				Tumores, descolamento de retina, hemorragias, alterações no nervo óptico, entre outras.
Médicos de Olhos: Diagnóstico Avançado do Globo Ocular
Contamos com especialistas em retina, glaucoma, córnea e cirurgias oculares, além de estrutura completa para exames como a ultrassonografia ocular, com tecnologia de ponta.
Atendemos em Curitiba e região com agilidade, precisão e atendimento humanizado.
 
				


